電話 ネット予約
診療時間
新型コロナウイルスについての対応

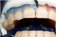
ホワイトニング治療なら 薬院近く、警固交差点すぐの帆鷲デンタルクリニック赤坂南

ホワイトニング
ホワイトニングとは?
ホワイトニングとは、歯みがきや歯のクリーニングなどでは落としきれない歯の着色をきれいにし、歯を白くする方法です。 歯を削ったりすることなく、歯の中にある色素を分解し、歯の明度を上げて白くしていきます。 ホワイトニングは1989年にアメリカで実用化された技術で、現在、アメリカではほとんどの歯科がホワイトニングを取り入れています。 以前は、歯を白くするには歯の表面を削ったり、人工歯をかぶせたり、歯の表面に薄い板状の膜を貼り付けたりする方法が採用されていましたが、現在は安全性の高いホワイトニングが主流となっています。
当院のホワイトニング3つの特徴
1. しっかりと診査・診断、前処置を実施
巷にあるホワイトニング専門店では歯科医師による診断や前処置を行わず、むし歯や歯周病が進行している状況でもホワイトニングを実施するケースがあります。そういったお口にホワイトニングをすると、思わぬ健康被害を引き起こすことがあります。虫歯と知らずに薬剤を塗ったことで歯髄炎で激しく痛んだり、歯周病のお口に薬剤を使ったところ思うような効果が上がらず、薬剤の過度の使用で粘膜を傷めてしまい、歯は白くなったけど、歯や歯ぐきはボロボロに、、なんてことも。
 

当院は、ホワイトニングに入る前にしっかりと診査・診断をおこない、歯のクリーニングまで歯を白くきれいにすることで、お口の健康に関心を持っていただき、ホワイトニング剤の持つ薬効を存分に予防にも活用して、その場限りの白さではなく、本当の健康を手に入れていただくのが、歯科のホワイトニングです。

2. 刺激や痛みが少ない国産ホワイトニング「TION」を使用
当院では、「TION(ティオン)」というホワイトニングシステムを採用しています。ティオンは、日本で開発された、日本生まれのホワイトニングシステムです。
西洋人と比べて薄い傾向にある日本人のエナメル質には、ホワイトニング剤の副作用を受けやすい問題があります。 そんな日本人の歯質を熟知する技術者が開発したティオンには、2つのコンセプトがあります。
☆患者さん満足度を高めるホワイトニング
☆患者さんにやさしいホワイトニング

★ティオンの特徴
・歯質へのダメージが少ない
・治療中の刺激や痛みがほとんどない
・治療後の痛み(知覚過敏)が起こりにくい
・治療費とホワイトニングの効果のバランスが良い
・日本で薬事認可を得たホワイトニング剤

刺激や痛みが少ないため、安心して受けていただくことが出来ます。






3. ただ白くするだけではないアフターフォローも充実
ホワイトニングは一度行ったからといってその白さが永久的に続くわけではありません。つまり”後戻り”してしまうのです。
したがって、ホワイトニングの効果を長持ちさせるためには定期的なメンテナンスが必要となってきます。
当院ではせっかく白くなった歯が後戻りないよう、定期的なチェックやアドバイスをさせていただきます。
ホワイトニングに入るまでの流れ

ホワイトニングに入る前
① 診察・検査
お口の健康状態を診察して、レントゲン写真を撮ります。
むし歯や歯周病、亀裂はないか、知覚過敏はどうか、どこに被せ物や詰め物があるかなどの確認をし、おおまかな流れについて説明します。

② コンサルティング
お好みの白さのほか、治療期間、治療費など、ご希望をもとにライフスタイルに合った治療法をご提案し相談します。目標の白さをシェードガイド(歯の色見本)で確認し合い、写真を撮って記録します。

③ 前処置
クリーニングしてステイン(着色汚れ)を取り除きます。
また、お口の健康状態によっては、ブラッシング指導、歯石除去、むし歯や亀裂の封鎖など必要な前処置を行います。
→オフィスホワイトニングへ
→ホームホワイトニングへ
・ホワイトニングを受けられない方
 むし歯や歯周病がひどい方。(ホワイトニングをすると症状が悪化するため、治療が先になります)
 
ホワイトニングには2種類の方法があります

オフィスホワイトニング
歯医者さんで施術をするのが「オフィスホワイトニング」です。オフィスホワイトニングは、高濃度のホワイトニング剤を使い、短時間で白くすることができます。

当医院では、日本製で『歯にしみにくい』ジーシーのTiONを使っています。
①カウンセリング
ご希望の歯の白さについてお聞きし、ホワイトニング前の色調を確認し、白くなる目標を確認します。
②診査
口腔内がホワイトニングに適した状態であるか確認します。
※ホワイトニングができない場合もあります。
③歯のクリーニング
ホワイトニングの効果を高めるために、歯石の除去や軽い着色を落とします。
④歯肉保護
ホワイトニングのジェルが歯肉に触れないように歯肉を保護していきます。
⑤ホワイトニングジェルの塗布
歯1本1本にホワイトニングジェルを丁寧に塗布していきます。
⑥光を照射
歯面に塗ったホワイトニングジェルに光を10分~12分照射します。
(⑤/⑥を3回程度繰り返します。)
⑦クリーニング
ホワイトニングジェルを拭き取り、歯面をクリーニングします。
⑧効果の確認
ホワイトニングの効果を確認し、術後の写真撮影を行います。

☆注意事項☆
・処置後に歯がしみることがあります。ですが、1日程度で治ってきます。
・当日は着色の付きやすいものタバコ、お茶、コーヒー、ワイン、カレーなど色が濃い物は控えてください。

ホームホワイトニング
患者さんがご自宅で行うのが「ホームホワイトニング」です。ホームホワイトニングは、ホワイトニング用のマウスピースを作成し、ご自宅で低濃度のホワイトニング剤を使い、ゆっくりと歯の表と裏の両側から白くしていきます。
①カウンセリング
ご希望の歯の白さについてお聞きし、ホワイトニング前の色調を確認し白くなる目標を確認します。
口の中の写真撮影を行います。
②診査
口腔内がホワイトニングに適した状態であるか確認します。
※ホワイトニングができない場合もあります。
③歯のクリーニング
ホワイトニングの効果を高めるために、歯石の除去や軽い着色を落とします。そうすることで、薬剤が浸透しやすくなりより白くなりやすくなります。
④歯の型どり
ホワイトニング用のマウスピースを作るために歯の型取りをします。
  ※マウスピースを作成するのに、少しお日にちがかかります。
⑤マウスピースと
 ホワイトニングキットの受け取り
 完成したマウスピースの試着を行い、フィット感を確認します。
 ホワイトニングのジェルの付け方などの使用方法の練習をします。
 ご自宅で指定された期間ホワイトニングを行っていただきます。
⑥メンテナンス
 ホワイトニングの効果の経過確認を行いますので、後日お越しいただきます。
また、そこで必要があればクリーニングも行っていきます。

☆注意事項☆
・ホワイトニングをした直後30分~1時間は飲食は控えましょう。
・ホワイトニングの効果を最大にするため、期間中は着色性の強い飲食物は取らないようにしましょう。
・毎日続けた場合、通常は約2週間で目に見える効果が表れます。
 安定した結果を得るためには、さらに1~2週間続けて下さい。
より白く、持続させたい方に
デュアルホワイトニング
「 オフィスホワイトニング 」と「 ホームホワイトニング 」を併用して、歯を白くするのがデュアルホワイトニングです。
オフィスホワイトニングから24時間以上経過した後にホームホワイトニングを開始して、それぞれの長所を活かすことでホワイトニングの効果を高め、長持ちさせることができます。
デュアルを行う順番、流れとしては、最初にオフィスホワイトニングを行い、その後、ホームホワイトニングを行います。
芸能人やモデルさんのような真っ白な白い歯を望まれる方にはデュアルホワイトニングをお勧めします。
オフィス?ホーム?どちらがいいの?
☆ 時間で選ぶ方法
オフィスホワイトニングで使用しているお薬の濃度は、ホームホワイトニングの約10倍です。ホームホワイトニングの効果は、オフィスホワイトニングに比べるとかなりゆっくりです。例えば、結婚式や面接、出張がある時やいつまでに白くしたいと期限がある場合は、オフィスホワイトニングが良いと思います。

☆ ライフスタイルで選ぶ方法
ホームホワイトニングの利点は、自宅で好きな時に歯を白くすることができるという点です。1度ホワイトニング用のマウスピースを作成すれば歯医者に通わずに、自分のペースで歯を白くすることができます。日中に歯医者に通えない方には最適な方法です。
オフィスホワイトニングにするかホームホワイトニングにするか、はたまたデュアルにするか悩まれる患者さまは、多いと思います。患者さまに合った方法を一緒に相談しながらおこなっていきますので、ご気軽にご相談ください。

ホワイトニング価格表
オフィスホワイトニング

●基本料金(2回照射)・・・・(上)5,500円 /(下)5,500円
●1歯(本)・・・・1,000円
●ホワイトニングトータルケア(術前術後ケア+アフターケア)・・・10,000円

【例】上下6本ずつ(計12本)をオフィスホワイトニングした場合
①基本料金:上下 11,000円
②歯数12本:12,000円
③トータルケア:10,000円
<①〜③合計> 33,000円(税別)


ホームホワイトニング
●基本料金(キット)・・・30,000円
●ホワイトニングジェル・・・1,500円(1本)※追加購入分
●ホワイトニングシート・・・3,000円(1枚)


デュアルホワイトニング(オフィス+ホーム)
●料金・・・上記オフィスの価格 + ホームの価格
●値引き・・・12歯以上の場合15,000円値引き致します


※上記料金はすべて税別となります。 ご不明なことがございましたら、お気軽にお問合わせください。
ホワイトニングQ&A
Q1.ホワイトニングでどの程度白くなりますか?
A.変色の原因や変色の程度、歯の質等により個人差はあります。
患者さまの元の歯の色合いから徐々に白くなりますのでご希望の白さやどの程度白くなるのかを確認しながら進めていきます。

Q2.ホワイトニングはしみますか?
A.ホワイトニングは歯を削らず痛みもないことがメリットですが、ホワイトニング前には虫歯や歯周病の治療は済ませておく必要があります。
またホワイトニングによって知覚過敏が発生することがありますが、たいていの場合は一過性のものですぐに治ります。

Q3.ホワイトニングで白くなった歯はずっと白いままですか?
A.残念ながらホワイトニングの効果は永遠ではありません。
患者さまの歯の質や生活習慣によって差があります。
オフィスホワイトニングの場合2週間ほどで2シェードくらい後戻りし、その後は緩やかなペースで後戻りしていきます。
例えばB1の白さになった場合、2週間ほどでB2ほどになりその後だんだんとご自身が本来持つ歯の色へと後戻りします。
白さをなるべく維持するには追加のホワイトニングをしていく必要があります。
定期的にホワイトニングをすることによって後戻りしにくい歯になっていくという結果が報告されています。

少しでも悩んでいるなら・・・
ぜひ、気軽にお問い合わせください。
あなたのご希望に沿ったホワイトニングのご提案をいたします。