症例紹介(ホームホワイトニング)
2022年6月15日 【症例・患者様の声】
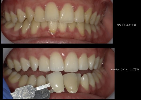
【治療方法】
ホームホワイトニング
【治療の説明】
歯科医院で作った専用のマウスピースを使い、自宅で行うホワイトニング
【副作用(リスク)】
知覚過敏のある方はしみることがありますが、当院ではしみにくいように濃度の低いジェルを使っています。
【費用】
上下で30,000円(ジェル4本付き)
【治療期間】
2日(1日目はマウスピースの型採り、2日目はホワイトニングセットのお渡し)

【治療方法】
ホームホワイトニング
【治療の説明】
歯科医院で作った専用のマウスピースを使い、自宅で行うホワイトニング
【副作用(リスク)】
知覚過敏のある方はしみることがありますが、当院ではしみにくいように濃度の低いジェルを使っています。
【費用】
上下で30,000円(ジェル4本付き)
【治療期間】
2日(1日目はマウスピースの型採り、2日目はホワイトニングセットのお渡し)
