ジルコニアクラウン(レイヤリングタイプ)
2022年7月14日 【症例・患者様の声】

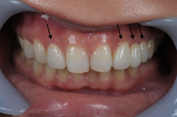
右上は単独のジルコニアクラウンで、左上は元々歯が無かったところに、3本つながったジルコニアブリッジをかぶせました。
他の天然歯と色や透明感も調和していて、とても綺麗ですね!
【治療方法】
ジルコニアクラウン
【治療の説明】
虫歯などで失った歯質を天然歯と同じ色・質感のジルコニアで補う治療法。
【副作用(リスク)】
変色がなく耐久性の高い治療ですが、歯周病や二次虫歯を予防するためには歯科医院でのお口のクリーニングが大切です。
また、神経のある歯に処置を行なった場合は、しみる症状が出てくる可能性があります。
【費用】
120,000円 × 5本= 600,000円
【治療期間】
3ヶ月



